Brustkrebs
Allgemein wird damit eine bösartige Wucherung bezeichnet, die aus dem Brustdrüsengewebe hervorgeht.
Das Brustdrüsengewebe besteht aus den Drüsenläppchen und den Milchgängen (siehe Aufbau der weiblichen Brust). Je nach seiner Herkunft hat der Tumor unterschiedliche Eigenschaften und Verhaltensmerkmale. Generell verhalten sich Tumore, die von den Milchdrüsenläppchen ausgehen, gutartiger als jene, die von den Milchgängen herrühren.
Zur genauen Bewertung des Tumors sind jedoch noch viele weitere Merkmale - wie etwa die Hormonrezeptoren - zu berücksichtigen, weshalb das Tumorgewebe vor der Behandlung einer intensiven Analyse durch den Pathologen unterzogen wird. Jeder Brustkrebs ist individuell, weshalb eine Behandlung auch immer individuell auf die betroffene Frau abgestimmt wird.
Das wichtigste Merkmal ist die Ausbreitung des Tumors (TMN-Klassifikation), die eng mit der Größe bei seiner Entdeckung zusammenhängt. Je kleiner der Tumor bei seiner Diagnose ist, desto besser und erfolgreicher sind seine Behandlungsmöglichkeiten.
Und genau hier setzt die Vorsorgeuntersuchung an. Sie kann keinen Brustkrebs verhindern. Aber sie kann ihn zumeist in einem Stadium erkennen, wo der eingetretene Schaden für Ihre Gesundheit noch gering ist, und Sie damit beste Aussichten auf eine Heilung haben.
Brustkrebs ist die häufigste Krebserkrankung der Frau, und er ist die häufigste Krebserkrankung überhaupt. Statistisch erkrankt jede 13. Frau in Österreich im Laufe ihres Lebens an Brustkrebs. Daran kann die Medizin derzeit nichts ändern. Ihr persönliches Risiko, an dieser Erkrankung vorzeitig zu versterben, können Sie allerdings durch eine regelmäßige Vorsorgeuntersuchung selbst beeinflussen.
Die Vorsorgeuntersuchung kann Brustkrebs nicht verhindern. Aber sie kann ihn zumeist so früh erkennen, dass der Schaden für Ihre Gesundheit noch gering, und Ihre Heilungsaussicht ausgezeichnet ist.
Derzeit verstirbt in Österreich etwa jede dritte Frau, die an Brustkrebs erkrankt ist, an den direkten oder indirekten Folgen ihrer Erkrankung. Dieses Verhältnis ließe sich durch eine stärkere Wahrnehmung des Vorsorgeangebots in der weiblichen Bevölkerung deutlich verbessern.
Zum Vergleich: Bis zu den 70er Jahren - also noch vor der Entwicklung von Früherkennungsprogrammen - führte Brustkrebs beinahe immer zum Tod der erkrankten Frau (siehe auch Geschichte des Brustkrebs).
Natürlich haben sich auch die Behandlungsmöglichkeiten seither enorm verbessert. Doch ist die führende Rolle der Früherkennung in der Senkung der Brustkrebssterblichkeit weiterhin völlig unbestritten, und wird es auch mittelfristig bleiben.
Die Brustkrebs-Vorsorgeuntersuchung ist die tragende Säule für die Senkung Ihres Risikos, an Brustkrebs zu versterben.
Es sind bestimmte Risikofaktoren bekannt, die mit Brustkrebs zusammenhängen - etwa übermäßiger Alkoholkonsum und Bewegungsarmut. Frauen, die gestillt haben, erkranken weniger häufig an Brustkrebs als Frauen, die nicht gestillt haben. Auch hat sich herausgestellt, dass die Hormonersatzbehandlung Brustkrebs begünstigt. Jedoch erkranken auch viele Frauen an Brustkrebs, für die keine der genannten Risikofaktoren zutrifft. Deshalb lautet die Antwort leider - Nein. Sie können sich nicht aktiv vor Brustkrebs schützen.
Brustkrebs ist für die betroffene Frau eine schicksalhafte Erkrankung. Sie hätte sie nicht verhindern können.
Ja. Ein Lebensstil mit viel Bewegung (z.b. Laufen, Joggen) senkt nachweislich das Risiko, an Brustkrebs zu erkranken. Dies trifft allerdings für viele Krebsarten zu, richtet sich also nicht speziell gegen Brustkrebs. Frauen, die gestillt haben, erkranken weniger häufig an Brustkrebs, als Frauen, die nicht gestillt haben. Auch übermäßiger Alkoholkonsum erhöht das Brustkrebsrisiko.
Das Brustkrebs-Früherkennungsprogramm (BKFP)
Das Österreichische Brustkrebs-Früherkennungsprogramm, abgekürzt BKFP, auch als Mammascreening bezeichnet, wurde nach jahrelanger Vorbereitung, an welcher auch unsere Institution beteiligt war, 2014 bundesweit eingeführt.
Das BKFP ermöglicht Ihnen, ab dem Alter von 40 Jahren kostenlos alle zwei Jahre eine Vorsorgeuntersuchung in Anspruch zu nehmen. Das reguläre Programm beginnt ab dem Alter von 45 Jahren, und endet nach dem 69. Lebensjahr.
Auf Wunsch können Sie jedoch bereits ab dem 40. Lebensjahr teilnehmen, und die Vorsorge nach dem 69. Lebensjahr beliebig fortsetzen. Diesbezüglich genügt eine formlose Mitteilung an den Veranstalter des BKFP online oder unter der Serviceline 0800 500 181.
Grundsätzlich ja, wenn das Vorsorgealter erreicht ist. Es bestehen jedoch Ausnahmen bei einzelnen kleinen Versicherungen. Sie können hier überprüfen, ob Sie zur Teilnahme berechtigt sind.
Routinemäßig erhalten Sie von Ihrer Versicherung alle zwei Jahre ein Einladungsschreiben. Diese Einladung berechtigt Sie, an den auf der Rückseite genannten Stellen eine Vorsorgeuntersuchung in Anspruch zu nehmen; eine haus- oder fachärztliche Zuweisung ist dafür nicht notwendig.
Sollten Sie bislang noch keine Einladung erhalten oder diese verlegt haben, ist Ihre eCard dennoch automatisch für eine kostenlose Vorsorgeuntersuchung freigeschaltet, wenn ...
- Sie zwischen 45 und 69 Jahre alt sind, und Sie in den vergangenen zwei Jahren keine Mammographieuntersuchung hatten
- oder, wenn Sie zwischen 40 und 45 oder aber über 69 Jahre alt sind, online oder unter der Service-Telefonnummer 0800 500 181 beim BKFP-Veranstalter um Aufnahme in das Vorsorgeprogramm angesucht haben
Mit der freigeschalteten eCard Sie können jederzeit - gerne auch hier bei uns - einen Termin zur Vorsorgeuntersuchung vereinbaren.
In jedem Fall wird eine Mammographie durchgeführt. Sollten noch zusätzliche Untersuchungen - zum Beispiel eine Sonographie aufgrund Ihrer Brustdichte - notwendig sein, werden diese gleich angeschlossen, um Ihnen weitere Wege zu ersparen.
Darüber hinaus bietet unser Brustgesundheitszentrum die grundsätzliche Möglichkeit, bei einem auffälligen Befund auf Ihren Wunsch hin auch das Assessment - die weiterführende Abklärung - noch am selben Tag durchzuführen. Dieses Angebot ist für Frauen gedacht, die aufgrund des Befundes so beunruhigt sind, dass sie so rasch wie möglich Gewissheit haben möchten.
Wir empfehlen Ihnen aber, nicht 'überstürzt' das Assessment in Anspruch zu nehmen; eine geplante Vorgangsweise am nächsten oder übernächsten Tag ist für Sie meist schonender.
Von jeder Brust werden üblicherweise zwei Aufnahmen - jeweils von oben nach unten (cranio-caudale Aufnahme) und schräg von innen nach außen (medio-laterale oblique Aufnahme) - angefertigt. Die Brust wird dabei in eine Vorrichtung eingespannt und komprimiert:

Die cc-Aufnahme wird immer so dargestellt, dass die Außenseite der Brust im Bild oben liegt.

können die Brustabschnitte in der Nähe der Achsel besser dargestellt werden.
Viele Frauen empfinden die Druckbelastung durch die Kompression als sehr unangenehm. Unsere Röntgentechnikerinnen sind deshalb speziell darauf geschult, möglichst schonend und behutsam vorzugehen.
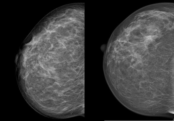
Die Kompression beeinflusst die Qualität der Aufnahme. Je dünner die Brust ausgestrichen ist, desto besser und klarer wird das Bild, wie das Beispiel unten zeigt.

Wir sehen dieselbe Brust im Abstand von zwei Jahren, die linke Aufnahme ist die neuere. Links erscheint die Brust wesentlich dichter, das Drüsen- und Bindegewebe ist unscharf, die Haut um die Brustwarze ist nur unzureichend abgebildet. Verdächtige Veränderungen könnten eventuell durch die schlechte Bildqualität überdeckt werden. Die Frau hatte an diesem Tag eine sehr druckempfindliche Brust, weshalb keine stärkere Kompression möglich war.
Eine gute Kompression ist für die Qualität der Aufnahme leider unumgänglich. Wir bemühen uns deshalb, möglichst behutsam und schonend vorzugehen.
Die Brust ist kurz vor der Regelblutung am empfindlichsten, was Sie vielleicht selbst manchmal bemerkt haben. Sollten Sie noch eine Regelblutung haben, liegt der günstigste Zeitpunkt für eine Mammographie etwa eine Woche nach Beginn der Regelblutung beziehungsweise nach Abklingen der Regel. Wenn Sie keine Regelblutung mehr haben, hat der Zeitpunkt Ihrer Untersuchung keinen Einfluss mehr auf die Druckempfindlichkeit Ihrer Brust.
Die Brust ist ein dreidimensionales Organ, die Aufnahmen sind hingegen flach. Um die sichtbaren Strukturen räumlich richtig einordnen zu können, sind daher zwei Aufnahmen in verschiedenen Ebenen notwendig.

Die Untersuchung dauert etwa zehn bis fünfzehn Minuten, danach können Sie sich wieder ankleiden, und in der Wartezone Platz nehmen. Die Bilder werden im Anschluss von der Fachärztin oder dem Facharzt gründlich analysiert. Sollte keine weitere Ergänzungsuntersuchung notwendig sein, werden Sie über den vorläufig unauffälligen Befund persönlich informiert und verabschiedet; andernfalls wird eine ergänzende Untersuchung durchgeführt.
Bei etwa jeder dritten Frau ist eine ergänzende Ultraschalluntersuchung aufgrund ihrer Brustdichte notwendig (siehe auch unter Was ist die Brustdichte?). Darüber hinaus gibt es noch weitere Ergänzungsuntersuchungen (mammographische Spezialaufnahmen, etwa wenn bestimmte Anteile der Brust nur schlecht beurteilbar sind, oder die Tomosynthese), welche so wie die Sonographie sofort im Anschluss an die Mammographie durchgeführt werden, um Ihnen eine neuerliche Einberufung zu ersparen. Auch hier erhalten Sie nach Abschluss der Untersuchungen sofort vom Facharzt eine vorläufige Auskunft über das Ergebnis.
In den allermeisten Fällen ist der Grund für ergänzende Untersuchungen - wie etwa Ihre Brustdichte - völlig harmlos. Sie sollten deshalb nicht beunruhigt sein, wenn Sie zu einer Ergänzungsuntersuchung aufgerufen werden.
Nein. Der Ultraschall ist 'blind' für kleine Verkalkungen, und diese können unter Umständen sehr wichtig für die Bewertung Ihrer Mammographie sein. Auch eignet sich der Ultraschall nur schlecht zur Vermittlung eines Gesamtbildes, da immer nur Ausschnitte der Brust dargestellt werden. Das Gesamtbild ist jedoch sehr wichtig, um neu aufgetretene Veränderungen zwischen zwei Vorsorgeuntersuchungen zu erkennen.
Neben dem verbalen Befund wird bei jeder Mammographie der Mammographie Score und die Brustdichte explizit erhoben, und an die Früherkennungs-Datenbank des Österreichischen Vorsorgeprogramms zur Qualitätssicherung übermittelt (siehe auch Was ist der Mammographie Score? und Was ist die Brustdichte?).
Jede Mammographie wird unabhängig von einem zweiten Facharzt ein weiteres Mal begutachtet (Vier-Augen-Prinzip). Dieses Vier-Augen-Prinzip ist im Österreichischen Früherkennungsprogramm zwingend vorgesehen, so wie in den meisten europäischen Ländern, die ein Brustkrebs-Früherkennungsprogramm anbieten.
Sollten dabei Differenzen zwischen Erst- und Zweitbefunder in der Bewertung Ihrer Mammographie auftreten, wird gemeinsam über die weitere Vorgangsweise beraten. Gegebenenfalls werden Sie ersucht, sich bei uns zu weiteren Ergänzungsuntersuchungen einzufinden. Dieser Fall tritt allerdings nur sehr selten ein.
Das Vier-Augen-Prinzip ist eine im Österreichischen Brustkrebs-Früherkennungsprogramm vorgeschriebene Sicherheitsmaßnahme. An unserer Einrichtung wird darüber hinaus ausnahmslos jede Mammographie (also auch diagnostische und kurative Mammographien) von einer weiteren Kollegin oder Kollegen begutachtet.
Assessment
'Assessment' kommt aus dem Englischen, und bedeutet soviel wie 'Begutachtung', 'Einschätzung', 'Beurteilung'. Der in der Vorsorgeuntersuchung geäußerte Verdacht wird durch eine weitergehende Abklärung entweder bestätigt oder aber ausgeschlossen. Dazu stehen mehrere Methoden zur Auswahl, und Sie werden von uns genau beraten, welche in Ihrem individuellen Fall die optimale ist.
Das kann in manchen Fällen eine engmaschige Verlaufskontrolle über einen Zeitraum von mehreren Monaten sein, nachdem durchgeführte Zusatzuntersuchungen wie Ultraschall, Tomosynthese oder MR-Mammographie ein unbedenkliches Ergebnis zeitigen. In den meisten Fällen wird jedoch nur eine Gewebeprobeentnahme Klarheit bringen.
Bei der Gewebeprobeentnahme, der sogenannten 'Biopsie', wird eine dünne Nadel in den verdächtigen Bezirk eingebracht, und eine oder mehrere Gewebeproben entnommen. Diese Proben werden anschließend vom Pathologen aufbereitet und unter dem Mikroskop genau analysiert. Die Entnahmeregion wird üblicherweise mit einem kleinen Markierungsklipp gekennzeichnet, damit die Stelle bei Bedarf jederzeit wieder auffindbar ist.
Vor der Terminvereinbarung werden Sie genau über den geplanten Eingriff und dessen Ablauf informiert und Ihre Einwilligung schriftlich eingeholt. Dies ist einerseits rechtlich notwendig, soll Ihnen aber vor allem die Gelegenheit geben, Antwort auf alle Fragen zu erhalten, die sich Ihnen stellen und mögliche Ängste vor dem Eingriff zu zerstreuen. Auch werden für das Umfeld des Eingriffs notwendige Informationen - wie etwa mögliche Allergien, blutverdünnende Medikamente oder bestehende Herz-Kreislauf Erkrankungen vorab erhoben, um gegebenenfalls darauf vorbereitet zu sein.
Die unterschiedlichen Methoden richten sich nach der Bildgebung. Ist die verdächtige Region im Ultraschall sichtbar, wird die ultraschallgezielte Gewebeprobeentnahme bevorzugt, da sie relativ einfach und rasch (üblicherweise zwischen 15 bis 20 Minuten) durchführbar ist.

Ist die Zielregion nur in der Mammographie sichtbar - wie etwa bei verdächtigen Verkalkungen - wird die Biopsie mit dem sogenannten Mammotom unter Führung von Röntgenaufnahmen gemacht.

Diese Methode ist etwas aufwändiger und dauert länger (meistens etwa 40 Minuten), die Entnahmeregion ist durch das Vakuumverfahren größer als bei der ultraschallgezielten Methode, weshalb nach der Entnahme der Gewebeproben die Brust bereits auf der Liege längere Zeit komprimiert wird, um größere Blutergüsse zu vermeiden.
In seltenen Fällen ist die verdächtige Region nur in der MR-Mammographie eindeutig lokalisierbar. In diesem Fall wird die Probeentnahme in der Kernspintomographie durchgeführt. Diese Methode ist wegen der Begleitumstände (starkes Magnetfeld, Kontrastmittelgabe) sehr aufwändig und dauert zumeist etwa 60 Minuten.

und komprimiert, um Bewegungen während des Eingriffs zu vermeiden
Manchmal kommt auch ein kombiniertes Verfahren zur Anwendung, wo die verdächtige Region zunächst kernspintomographisch mit einem Markierungsklipp versehen wird, und im Anschluss die eigentliche Probeentnahme mit Hilfe des Ultraschalls oder des Mammotoms erfolgt. Dieser Weg wird eingeschlagen, wenn die verdächtige Region für eine kernspintomographische Biopsie ungünstig gelegen ist.
Nein. Normalerweise sollten Sie keinen Schmerz empfinden. Vor dem Eingriff erhalten Sie - ähnlich wie beim Zahnarzt - eine lokale Betäubung, die kurz ein wenig 'brennen' kann. Sollten Sie dennoch während des Eingriffs Schmerzen verspüren, kann die lokale Betäubung jederzeit erneuert werden. Die meisten Frauen sind nach dem Eingriff überrascht, wie schmerzlos und unspektakulär dieser verläuft. Am längsten dauert zumeist die Vorbereitungsphase, wo die Haut über der Eingriffstelle mit einem keimtötenden Mittel gereinigt, und die Umgebung der Brust mit sterilen Tüchern abgedeckt wird, um Entzündungen nach dem Eingriff zu vermeiden.
Auch werden Sie bei jedem Schritt genau informiert, was gerade geschieht, um Ihre Beunruhigung vor 'überraschenden' Wendungen gar nicht erst aufkommen zu lassen.
Die Gewebeprobeentnahme ist ein kleiner, in den meisten Fällen völlig schmerzloser Eingriff. Wir bemühen uns um eine entspannte, beruhigende Atmosphäre, um Ängste oder Panik gar nicht erst aufkommen zu lassen. Der Eingriff erfolgt unter lokaler Betäubung, eine Narkose ist nicht notwendig. Zwei Stunden nach dem Eingriff können Sie üblicherweise wieder nach Hause gehen.
Nein. Nach der Entnahme wird an der Biopsie-Stelle ein 'blauer Fleck' entstehen, bei manchen Frauen mehr, bei den meisten nur geringfügig. Dieser Bluterguss ist völlig harmlos, solange keine Blutgerinnungsstörung vorliegt; deshalb ist es wichtig, uns bereits im Vorfeld darüber zu informieren.
Um die Nadel problemlos durch die Haut zur Entnahmestelle zu führen, wird ein kleiner Hautschnitt (ca. 3-4mm) gesetzt. Dieser verheilt zumeist völlig folgenlos ohne Narbenbildung, und stellt kosmetisch kein Problem dar. Der kleine Schnitt wird nach Ende der Biopsie anstatt einer Naht mit einem sterilen Pflaster verklebt; dieses verbleibt einige Tage auf der Wunde, danach können Sie es entfernen. Um die kleine Schnittwunde vor Feuchtigkeit zu schützen, wird sie zusätzlich mit einem wasserdichten Pflaster versiegelt.
Danach erhalten Sie einen Sandsack, mit dem Ihre Brust etwa zwei Stunden lang komprimiert wird, um die Entwicklung eines größeren Blutergusses zu vermeiden. Im Anschluss können Sie - wenn es Ihnen nach dem Eingriff gut geht - das Brustzentrum wieder nach Hause verlassen.
Rein medizinisch gesehen sind Sie nach dem Eingriff fahrtauglich. Sie sollten allerdings den Einfluss der psychischen Anspannung, die möglicherweise für Sie mit dem Eingriff einhergegangen ist, nicht unterschätzen. Deshalb empfehlen wir Ihnen, das Fahrzeug nicht selbst zu lenken, sondern dies einer Begleitperson zu überlassen.
In sehr seltenen Fällen kann sich die kleine Schnittwunde oder die Biopsieregion entzünden. Deshalb ist es wichtig, dass die Entnahmeregion trocken bleibt und keinen Keimen ausgesetzt wird. Sollten Sie Stunden oder Tage nach dem Eingriff ziehende Schmerzen verspüren oder Fieber entwickeln, kommen Sie bitte ohne Verzögerung an unsere Brustambulanz, um uns Gelegenheit zu geben, nach dem Rechten zu sehen.
Durch die Gewebeprobeentnahme entsteht ein üblicherweise kleiner, unbedeutender Bluterguss. Sollten Sie jedoch an einer Blutgerinnungsstörung leiden, oder aber blutverdünnende Medikamente einnehmen, ist es wichtig, uns bereits im Vorfeld darüber zu informieren. Auch eine Allergie auf das angewendete lokale Betäubungsmittel muss uns vorab bekannt gegeben werden, um geeignete Gegenmaßnahmen treffen zu können.
Üblicherweise ist die Arbeit des Pathologen am nächsten Arbeitstag abgeschlossen. Wird die Gewebeprobeentnahme im Rahmen eines stationären Aufenthalts durchgeführt, kann Ihnen das Ergebnis bereits um die Mittagszeit des Folgetages bekannt gegeben werden. Wurde der Eingriff ambulant durchgeführt, erhalten Sie von der für Sie verantwortlichen Fachärztin bereits vorab einen Termin zur Befundbesprechung.
Bitte haben Sie Verständnis, dass wir unter keinen Umständen telefonische Auskünfte erteilen. Der Schutz Ihrer Privatsphäre wäre nicht gewährleistet, auch wäre im Falle eines ungünstigen Ergebnisses die professionelle Beratung und Betreuungsmöglichkeit vor Ort nicht vorhanden.
Abhängig von der Art des Ergebnisses werden Sie über die gegebenenfalls notwendigen Therapieschritte von der für Sie verantwortlichen Fachärztin genauestens informiert und professionell und einfühlsam beraten. Keinesfalls werden Sie mit dem Ergebnis alleine gelassen!
Sollte sich jedoch der in der Vorsorgeuntersuchung geäußerte Verdacht zerstreut haben, werden von uns vorsichtshalber noch mehrere Nachkontrollen durchgeführt, bevor Sie wieder in das normale Vorsorgeprogramm aufgenommen werden. Üblicherweise wird dafür die Zeit bis zum nächsten regulären Vorsorgetermin genutzt, und die Nachkontrollen mit dem Ultraschall im 6-monatigen Abstand durchgeführt.
Einerseits, um spät auftretende Reaktionen auf den Eingriff - wie etwa unbemerkte Entzündungen - zu entdecken und einer Behandlung zuzuführen.
Andererseits arbeitet keine Institution der Welt vollkommen fehlerfrei, und es wäre ein gefährlicher Fehler, die Augen davor zu verschließen. Eine Biopsie kann - trotz korrekt imponierender Bildgebung - dennoch das Zielgebiet nicht getroffen haben. Gewebeproben könnten vertauscht oder durch technische Gebrechen falsch interpretiert worden sein.
Durch gewissenhafte Nachkontrollen wollen wir jedes Restrisiko für Sie beseitigen, auch wenn es noch so gering sein mag.
Psychologische Betreuung
Ein positiver Befund bei der Vorsorgeuntersuchung ist immer mit einer Reihe von negativen Emotionen verbunden. Möglicherweise haben Sie bereits befürchtet oder gewusst, dass es bösartige Veränderungen in Ihrer Brust gibt, vielleicht trifft Sie die Information aber auch wie aus heiterem Himmel.
So unterschiedlich wir Menschen sind, so unterschiedlich kann auch Ihre erste Reaktion auf das Befundergebnis ausfallen.
Grundsätzlich gilt in den ersten Stunden und Tagen: ALLES IST ERLAUBT !
Das bedeutet, dass es keine richtige oder falsche Reaktion gibt. Manche Frauen fallen erstmal in eine Phase des "Nicht Wahrhaben Wollens", die mehrere Tage, aber auch Wochen dauern kann. Andere Frauen sind bereits bei der Befundbesprechung mit starken negativen Emotionen - wie Angst, Traurigkeit oder Hilflosigkeit - konfrontiert.
Oft kommt es in den ersten Tagen nach Bekanntwerden der Tumorerkrankung zu starken Stimmungsschwankungen, es herrscht ein Wechsel zwischen Pessimismus ("Jetzt ist alles vorbei") und Optimismus ("Ich schaffe das schon"); wieder andere hadern stark mit der Diagnose, fühlen sich bestraft, sind wütend und enttäuscht.
Alle diese Gefühle sind normal und völlig adäquat in Anbetracht der Ausnahmesituation, in der Sie sich befinden.
In erster Linie sollten Sie freiwillig an den Gesprächen mit der Psychologin oder dem Psychologen teilnehmen, jeglicher Druck von außen - durch Behandler oder Angehörige - ist nicht hilfreich, auch wenn das Angebot "gut gemeint ist". Denn nicht jeder Mensch möchte, und auch nicht jede Betroffene braucht eine psychologische Unterstützung bei der Krankheitsbewältigung.
Auf der anderen Seite gibt es oft Hemmungen, psychologische Hilfe in Anspruch zu nehmen, selbst wenn sie notwendig wäre. Deshalb ist wichtig zu verstehen, dass der "Gang zum Psychologen" keineswegs bedeutet, verrückt oder psychisch krank zu sein. Während kritischer Lebensereignisse, zu denen auch der Umgang mit einer schweren Erkrankung gehört, kann das Gespräch mit einer unabhängigen und psychologisch ausgebildeten Person gut tun und hilfreich sein.
Sinnvoll ist die Unterstützung dann, wenn Sie das Gefühl haben, dass Ihre psychische Belastung durch die Erkrankung ein "angemessenes Ausmaß" überschreitet.
Wenn die psychische Belastung über mehrere Wochen bestehen bleibt, und sich dabei nicht in ihrer Intensität verändert, wäre eine psychologische Beratung/ Behandlung empfehlenswert. Sollten Sie beispielsweise an Schlafstörungen leiden, kann es hilfreich sein, gemeinsam mit der Psychologin Möglichkeiten zu erarbeiten, wie sie abends wieder besser zur Ruhe kommen und eine mögliche Grübelneigung unterbrechen können. Ebenfalls kann eine Psychologin Sie professionell dabei beraten, wie wieder Sie Kraft tanken und neue Zukunftsperspektiven entwickeln können.
Spätestens bei der Entwicklung einer psychischen Störung (z.B. Depression, Angststörung, Anpassungsstörung) als Folge der Tumorerkrankung wird eine professionelle Unterstützung durch die Fachbereiche Psychologie und/oder Psychiatrie angeraten.
Brustambulanz
Einen zeitnahen Termin für eine Vorsorgeuntersuchung können Sie gerne hier vereinbaren. Bitte beachten Sie, dass Ihre eCard normalerweise nur einmal in zwei Jahren für eine Vorsorgeuntersuchung freigeschaltet ist, genauere Details finden Sie hier. Sollten Sie das erstemal an unsere Ambulanz herantreten, bringen Sie bitte Ihre vorangegangenen Mammographien - so vorhanden - mit.
Obwohl die meisten Brustveränderungen gutartig sind, sollten Sie diese - schon um den Zeitraum Ihrer Beunruhigung kurz zu halten - so rasch wie möglich untersuchen lassen. Vereinbaren Sie bitte deshalb gleich einen Termin mit uns, wir bemühen uns, diesen möglichst zeitnahe, üblicherweise innerhalb von ein bis zwei Arbeitstagen zu vergeben.
An unserer Ambulanz wird Ihre Brust zunächst klinisch untersucht, abgetastet und im ausführlichen persönlichen Gespräch die Begleitumstände der Veränderung erhoben. Sollte es notwendig sein, werden überdies bildgebende Untersuchungen (üblicherweise Ultraschall oder Mammographie) angeschlossen. Bringen Sie deshalb bitte Ihre früheren Mammographien - wenn vorhanden - mit, sollten Sie diese nicht bei uns gemacht haben.
Alle erhobenen Befunde werden in unserem fachübergreifenden Team sofort besprochen, und - falls notwendig - auf Wunsch am selben Tag oder ansonsten an einem der Folgetage eine weiterführende Abklärung (Stanzbiopsie oder MR-Mammographie) durchgeführt. Für diesen diagnostischen Eingriff ist in der Regel kein stationärer Aufenthalt erforderlich, ist jedoch auf Ihren Wunsch hin selbstverständlich möglich.
Auch wenn wir es uns alle wünschen würden, dass es nicht eintritt - manchmal ist eine Vorsorgeuntersuchung auffällig. Dann ist rasche Gewissheit für Sie, aber auch für uns die beste Wahl. Häufig löst sich dabei der ursprüngliche Verdacht in Wohlgefallen auf.
Vereinbaren Sie bitte einen Termin mit unserer Brustambulanz, wir bemühen uns, diesen so rasch wie möglich - üblicherweise binnen zwei bis drei Arbeitstagen - einzuräumen, und bringen Sie bitte die erhobenen radiologischen Befunde und Bilder (üblicherweise auf CD) mit.
An unserer Ambulanz wird Ihre Brust zunächst klinisch untersucht, abgetastet und im ausführlichen persönlichen Gespräch die Begleitumstände der Veränderung erhoben. Ihre Bilder werden begutachtet, und noch zusätzliche Untersuchungen (üblicherweise Ultraschall und gegebenenfalls mammographische Spezialaufnahmen) durchgeführt, um zusammen mit Ihnen über die für Sie optimalste weitere Vorgangsweise zu entscheiden.
Sollte dabei eine Gewebeprobeentnahme notwendig sein, kann diese - sollte dies Ihr Wunsch sein und die Umstände es erlauben - noch am selben Tag durchgeführt werden. Wir raten Ihnen jedoch zu einer geplanten Vorgangsweise, üblicherweise am nächsten Tag, wenn keine medizinischen Gründe dagegen sprechen. Der Eingriff wird normalerweise ambulant durchgeführt, Sie können sich jedoch auch für einen stationären Aufenthalt entscheiden, sollte dies Ihr Wunsch sein.
Wann erfahre ich das Ergebnis?
Üblicherweise ist die Arbeit des Pathologen am nächsten Arbeitstag abgeschlossen. Wird die Gewebeprobeentnahme im Rahmen eines stationären Aufenthalts durchgeführt, kann Ihnen das Ergebnis bereits um die Mittagszeit des Folgetages bekannt gegeben werden. Wurde der Eingriff ambulant durchgeführt, erhalten Sie von der für Sie verantwortlichen Fachärztin bereits vorab einen Termin zur Befundbesprechung.
Bitte haben Sie Verständnis, dass wir unter keinen Umständen telefonische Auskünfte erteilen. Der Schutz Ihrer Privatsphäre wäre nicht gewährleistet, auch wäre im Falle eines ungünstigen Ergebnisses die professionelle Beratung und Betreuungsmöglichkeit vor Ort nicht vorhanden.
Im Rahmen der individuell abgestimmten Brustkrebsbehandlung sind vor Beginn der Therapie weitere Untersuchungen notwendig, um das Ausmaß der Erkrankung auf andere Organe einzuschätzen (CT-Thorax, CT-Abdomen, Knochenszintigrafie). Um die Ausdehnung der Tumorerkrankung in der Brust ganz genau feststellen zu können, wird eine MR-Mammografie durchgeführt um eine optimale Operationsplanung zu gewährleisten. Sobald alle Befunde erhoben worden sind, tritt das Mammaboard zusammen und legt die auf ihren Fall maßgeschneiderte Behandlungsstrategie fest. Dies wird dann mit Ihnen in persönlichen Gesprächen mit uns ausführlich besprochen und der Behandlungsstart wird festgelegt.
In diesem Fall wenden Sie sich vertrauensvoll an die diesbezügliche Expertin in unserer Brustambulanz nach telefonischer Terminvereinbarung unter 06415/7101-6420. In einem ausführlichen Gespräch mit Ihnen wird der Familienstammbaum erhoben und es werden die Erkrankungsfälle von Brust- und Eierstockkrebs dokumentiert.
Sollte sich dort ein erhöhtes Risiko zeigen, wird ihnen Blut entnommen werden, welches auf Veränderungen im Brustkrebsgen 1 und Brustkrebsgen 2 untersucht wird.
Nach Erhalt der Befunde dieser Blutuntersuchung werden Sie zu einem persönlichen Gespräch in unserer Brustambulanz eingeladen, dort wird das Ergebnis und deren Konsequenzen ausführlich besprochen werden.
Selbstverständlich betreuen wir Sie auch nach einer Brustkrebsbehandlung in regelmäßigen Abständen in unserer Brustambulanz nach telefonischer Terminvereinbarung (06415/7101-6420). Bei diesen Kontrollen untersuchen wir die Brust auch mittels Ultraschall, Legen den Zeitpunkt für die nächste Mammografie fest und kümmern uns um mögliche Probleme, die im Rahmen einer Brustkrebsbehandlung auftreten können.

